عناوین مطالب:
- نگاهی به پوست
- ترمیم زخم؛ مراحل و روش ها
نگاهی به پوست

پوست، بزرگترین ارگان بدن
- تشکیل شده از بافتهای مختلف
- سطحی حدود 1/6 – 2 متر مربع
- 12 – 16% وزن کل بدن
- جریان یک سوم خون بدن
لایه های پوست
- اپیدرم
- درم
- ساب کوتانئوس

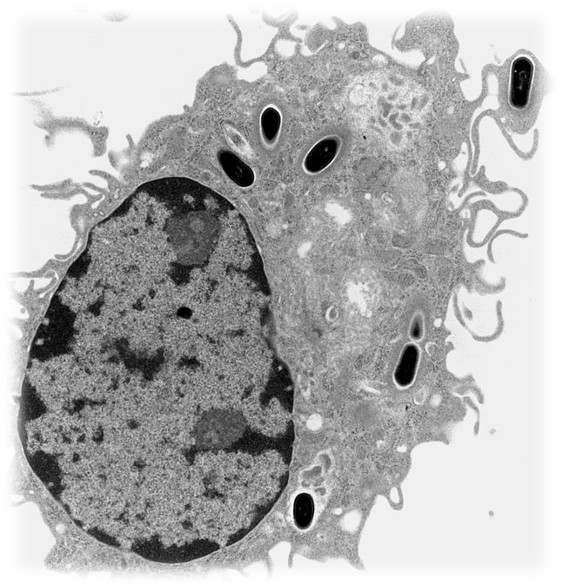
اپیدرم
_ چهار گروه سلول اصلی:
- کراتینوسیتها
- ملانوسیتها
- سلولهای لانگرهانس
- سلولهای مرکل

_لایه ها:
- 4 یا 5 لایه
- لایه بازال یا لایه ای زاینده پائین ترین
- لایه شاخی بیرونی ترین لایه

_کراتینزیشن
![]() |
![]() |
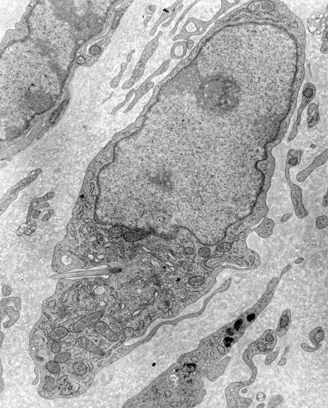
درم
- اصلی ترین توده پوستی
- بافت همبند فیبروالاستیک
–سلولهای اصلی:
- فیبروبلاست
- ماکروفاژ
- ماستسل
–ارگانلها

ترمیم زخم؛ مراحل و روش ها
![]() |
![]() |
تعریف زخم
شکستی در اپیدرم یا درم در اثر تروما یا تغییرات پاتولوژیک در پوست یا بدن
فازهای ترمیم زخم
چهار مرحله (فاز) در ترمیم زخم وجود دارد:
- انعقاد (Haemostasis)
- التهاب (Inflammation)
- تکثیر (Proliferation)
- بلوغ (Maturation)
1) انعقاد (Haemostasis)
- شروع
–تقریبا بلافاصله پس از ایجاد زخم
- نتیجه
–قطع خونریزی
- مکانیسم ها
–انقباض رگ ها (vasoconstriction)
–فعالیت پلاکت ها و گلبول های قرمز

2) التهاب (Inflammation)
- مشخصات
–تورم، درد، قرمزی، گرما، اگزودا و اسلاف
- طول دوره
–تقریبا 3 تا 4 روز
- هدف
–حذف بافتهای مرده و باکتریها و شروع ترمیم زخم
- سلولهای غالب
–ماکروفاژها ← نقش ←
پاکسازی زخم از بافت مرده و باکتری
تسریع آنژیوژنز، تشکیل بافت گرانوله و اپیتلیالیزاسیون در فاز تکثیر

روند التهاب:
وازودیلاتاسیون ← ورود سلول ها به فضای زخم

3)تکثیر (Proliferation)
- شروع
–پس از کامل شدن التهاب (بطور متوسط 5-3 روز پس از ایجاد زخم)
- طول مدت
–4-3 هفته
- شامل
–آنژیوژنز، گرانولاسیون، اپیتلیالیزاسیون و انقباض زخم
- سلول غالب
–فیبروبلاست ها

با.فت گرانوله:
–بافت همبند حاوی مویرگ های تازه تشکیل شده (جوانه های مویرگی) که زخم را در فاز پرولیفراتیو پر میکند
–بافت گرانوله سالم
- قرمز، مرطوب و نیمه شفاف
- مقاوم در برابر آلودگی
- شکننده

آنژیوژنزیس:
–شکل گیری مویرگهای ضروری برای ترمیم زخم
–سلولهای اصلی: سلولهای اندوتلیال

فیبروبلاست ها؛ سلولهای اصلی در فاز تکثیر:
–مهاجرت به محل زخم و تکثیر
_ رشته های باریک کلاژن

انقباض زخم
- میوفیبروبلاستها
–فیبروبلاستهای تخصص یافته دارای میوفیبریل با خواص انقباضی.
- سرعت انقباض
–حدود 0/6 تا 0/7 mm/day1
- میزان انقباض
–در زخم های full-thickness: عامل حدود 40% از کاهش اندازه زخم
![]() |
![]() |
اپیتلیالیزاسیون
- تعریف:
–پوشانده شدن زخم با پوست تازه و جوان
- شروع
–زمانیکه که بافت گرانوله زخم را تقریبا تا سطح پوست اطراف پرکند

سلولهای اپیتلیال
–تغییر شکل سلول های لایه بازال برای تسهیل حرکت
–مهاجرت به داخل زخم
–بازگشت به حالت طبیعی و اتصال به غشاء پایه
–ادامه تقسیمات طبیعی برای ساخت لایه اپیتلیال جدید

4)بلوغ (Proliferation)
- –آخرین مرحله ترمیم زخم–جمع شدن بافت اسکار و افزایش استحکام آن–شروع: کاهش تعداد فیبروبلاستها و کاهش حلقه های مویرگی–نهایت: بافت اسکار بالغ فاقد عروق خونی، مو و غدد سباسه یا عرق

- بازسازی فیبرهای کلاژن
–برای به حداکثر رساندن قدرت کششی .
–بازآرایی (remodeling) فیبرها در جهت خطوط کششی.
–اتصال های عرضی

محصولات زخم
لوازم مصرفی
ابزار جراحی
جوراب طبی





